Lors du weekend de Pâques, à Villepreux (78), un chat a été victime d'un tir de plomb dans son jardin. L'animal a dû être opéré d'urgence et a été placé sous traitement. Sa maîtresse a porté plainte.

Source : Le Parisien - VM
C'est dans le centre-ville de Villepreux que Molki, un petit chat, a vécu cette mésaventure. Sa maîtresse, Vanessa, a porté plainte à la gendarmerie de Plaisir pour "sévices graves ou acte de cruauté envers un animal domestique". Elle a raconté à Le Parisien :
Dimanche, j’ai ouvert la fenêtre pour que Molki sorte. Il est revenu en boitant moins de 5 minutes plus tard, avec une plaie saignante à la cuisse.
Les faits se sont déroulés un dimanche soir à 22h, une veille de jour férié. Pas facile pour la jeune femme de trouver un vétérinaire disponible dans ces conditions. C'est pourquoi elle a dû conduire Molki aux urgences vétérinaires du Bois-d'Arcy, où il a rapidement été pris en charge.

Source : Le Parisien - VM
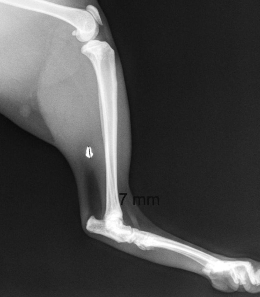
A l'aide d'une radiographie ayant mis en évidence la présence de plomb dans le muscle de sa cuisse, Vanessa a pu constater que son chat s'était bel et bien fait tirer dessus. Il a immédiatement été envoyé en salle d'opération.
Le lendemain, il m’a dit que la blessure était assez grave. Le plomb est entré par le haut de la cuisse et s’est logé dans le muscle. Il a dû recoudre la plaie, et ouvrir plus bas pour accéder au projectile et le retirer.
Molki a ensuite dû être placé sous traitement antibiotique pendant quinze jours afin de limiter les risques d'infection. Vanessa déplore cet acte barbare, d'autant plus qu'il a engendré des frais importants pour la jeune femme et sa famille.
La facture s’élève à 364 €, autant vous dire que sur un budget familial c’est un peu dur et non prévu.
Après avoir déposé plainte, elle a relayé l'histoire de Molki sur la page Facebook "Entraide pour les habitants de Villepreux", afin d'encourager les autres habitants à partager leurs expériences et dénoncer les comportements abusifs.Pour rappel, il y a quelques mois, un autre chat a été victime d'un acte de barbarie semblable dans le Var, où il a reçu deux tirs de carabine dans la tête.


.webp&w=1080&q=75)
.webp&w=1080&q=75)
.webp&w=1080&q=75)
.webp&w=1080&q=75)